Dental Sealants

About

Dental (Pit and Fissure) Sealants at Mickleham Dental

Fissure sealants are a simple, preventative treatment used to protect your back teeth from decay. At Mickleham Dental, we apply a thin, protective coating over the deep grooves and pits of the molars—areas that are often hard to clean and prone to cavities. This painless procedure is especially beneficial for children and teens but can also be recommended for adults at higher risk of tooth decay.

Fissure Sealants for Cavity Prevention

At Mickleham Dental, we offer fissure sealants – a simple and effective way to protect teeth from decay, especially in children and teens.

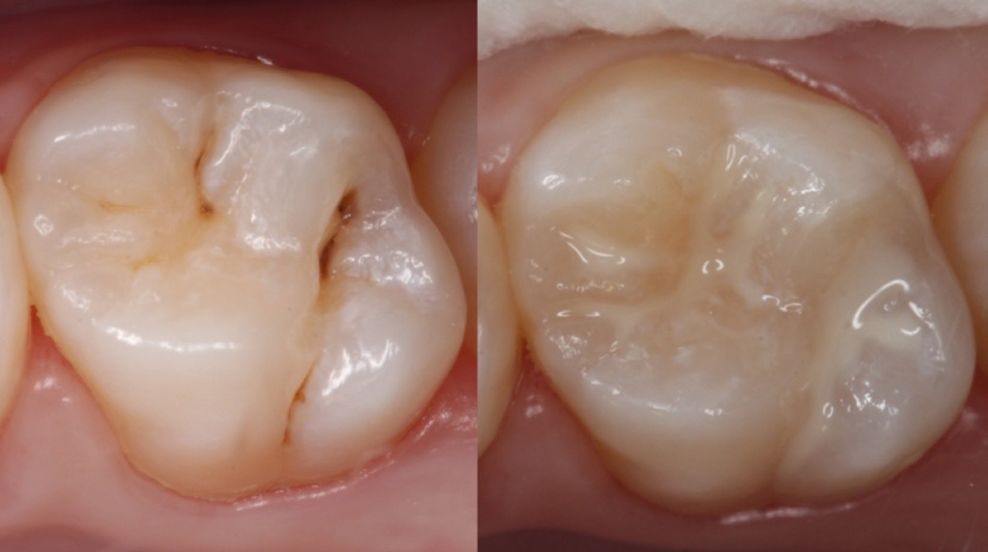
Sealants are a thin protective coating placed over the grooves and pits found on the chewing surfaces of back teeth (molars and premolars). These areas are particularly vulnerable to decay because food particles and bacteria can easily become trapped, and the narrow grooves can be difficult to clean – even with regular brushing. Sealants act as a barrier, helping to prevent cavities before they start.

When Are Sealants Recommended?

Sealants are most commonly applied to permanent molars, which typically appear around age 6 (first molars) and age 12 (second molars). For children with especially deep grooves in their baby molars, sealants may also be recommended to help prevent early decay and the need for fillings.

The best time to apply sealants is soon after the teeth have erupted, before any signs of decay are present.

Safe, Simple & Non-Invasive

The procedure is quick and completely painless. It does not require any drilling or removal of tooth structure. After cleaning the tooth, a gentle solution is applied to prepare the surface. The sealant material is then placed and hardened with a special light, forming a strong, tooth-coloured protective layer.

We use BPA-free materials to ensure safety and comfort.

If you'd like to know whether fissure sealants are suitable for your child or yourself

 book a consultation with our friendly team at Mickleham Dental today.

Benefits of Sealants

  • Helps prevent cavities in back teeth
  • Makes grooves easier to clean
  • Reduces the need for future fillings
  • Helps maintain stronger, healthier teeth
  • A long-lasting preventive option (can last 5–10 years with regular checks)


Sealants are part of a comprehensive preventive dental plan, alongside fluoride and regular check-ups. Preventing decay helps avoid unnecessary dental work and preserves natural tooth strength for the long term.